Diagnosis
Recurrence of an invasive keratinizing squamous cell carcinoma in the lower left cheek
Treatment
- Chemotherapy
- Surgery
- Radiation
Radiotherapy Treatment
Therapy using ionizong radiation, generally as part of a cancer treatment to control or kill malignant cells and is normally delivered by a linear accelerator. Radiation therapy may be curative in a number of types of cancers if they are localised to one area of the body. It may also be used as part of adjuvant therapy, to prevent tumor recurrence after surgery to remove a primary malignant tumor.
Chemotherapy Treatment
A cocktail of drugs including docetaxel, and cisplatin, which are administered intravenously at the hospital, and fluorouracil, which is administered as a continuous 24-hour infusion for 4 days.
CT Scan
A computed tomography scan makes use of computer-processed combinations of many X-ray measurements taken from different angles to produce cross-sectional images of specific areas of a scanned object, allowing the user to see inside the object without cutting.
PET Scan
A positron emission tomography scan is an imaging test that helps reveal how your tissues and organs are functioning. A PET scan uses a radioactive drug (tracer) to show this activity.PET ScanA positron emission tomography scan is an imaging test that helps reveal how your tissues and organs are functioning. A PET scan uses a radioactive drug (tracer) to show this activity.
Here We Go Again - December 12th 2019
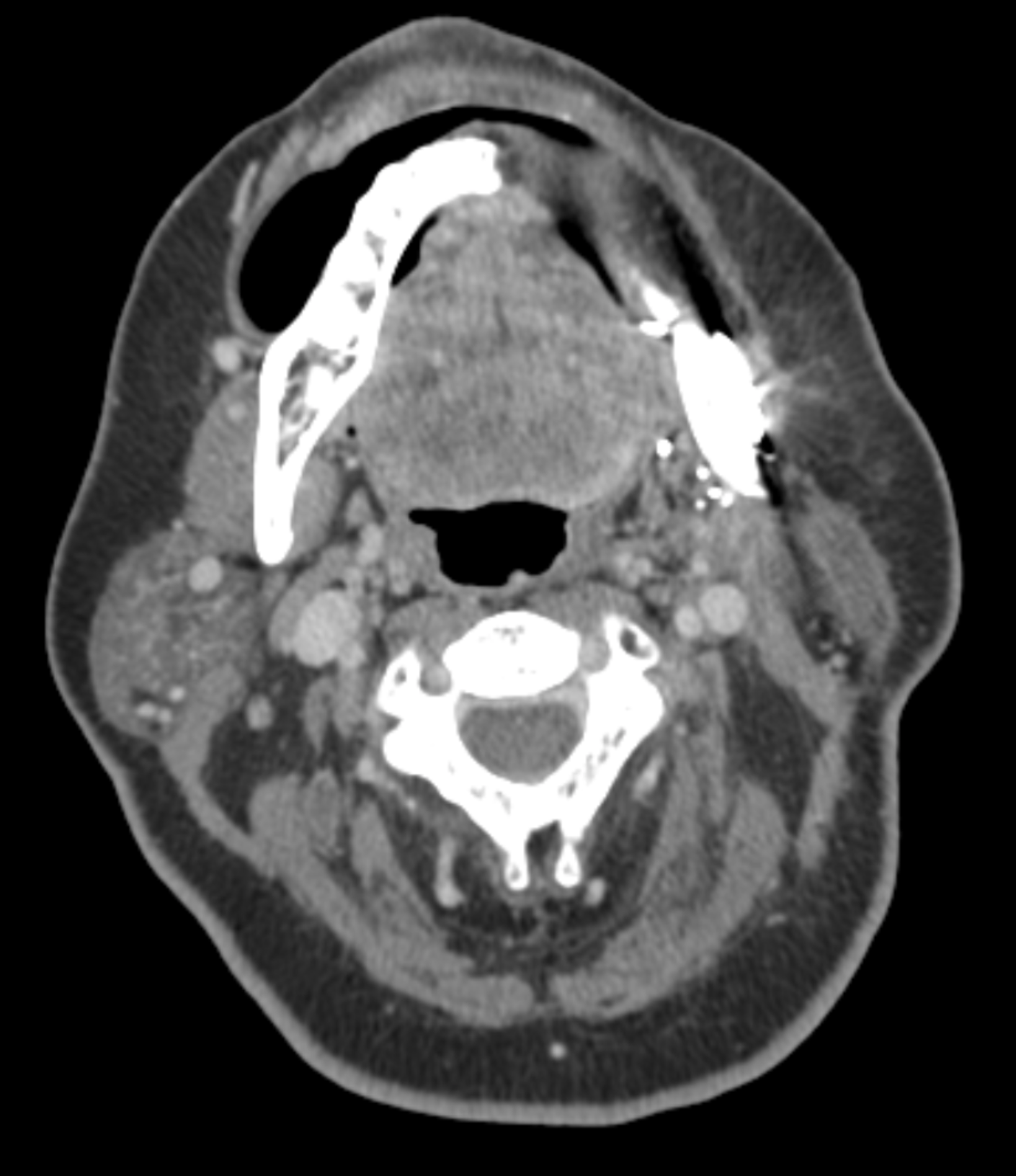
Well, we promised you an update in mid November and we thought it would be the last one. Unfortunately a lot has happened since our trip to UK, visiting parents, kids and grandkids. Sadly, the cancer has returned as a big lump on the left jaw line, close to the original surgery site.
After a series of consultations, CT and PET scans, the plan of attack is to have a series of seven immunotherapy infusions three weeks apart, starting on 17th December, another extensive surgery on 27th December to remove the tumor, and radiation treatment once I have recovered from the surgery.
The immunotherapy treatment is a research trial for exactly this kind of cancer, and the oncologist thinks that this is the best option. There is the more conventional chemotherapy treatment that can be used alongside, if necessary. Check this BBC article that explains the immunotherapy process very nicely. So, we start the waiting game again, and see what happens. Physically, apart from feeling tired, I’m fine. I have no pain, just a huge hole in my face where the tumor is making an attempt to escape (better out than in, right?).
I have full 100% confidence in my most excellent medical team, and trust them to do their best for me. I’m trying to look for the positives in all of this, and I hope that it works for me and, just as importantly, the research results help many more people in the future. I am quite at peace in my mind with it all, and won’t think about “what if’s”. We just take one day at a time, and try to carry on a normal life. It's going to be another long haul, and we are both grateful for all of the support that we have received. Andy will update again after surgery.
{ if (window.innerWidth >= bp.minWidth) enabled = bp.enabled; });
if (enabled) $dispatch('image-lightbox-open', { id: 'rw3BBFE474_C0D2_43FB_871F_9BCF5B7E1645' });
" decoding="async" />
Immunotherapy Off - December 17th 2019
Christine and I spent the last two days at MDA downtown. It turns out that this was a complete waste of time, because, in their wisdom, the Ohio based leader of the immunotherapy program decided that Christine did not meet the necessary criteria. This, after four weeks of tests, approvals, consultations and boosting of expectations. We were not impressed.
What made it worse was the total lack of communication and empathy displayed by the program representative based in Houston. We were just about to go in to get the immunotherapy treatment, when she called for us go to another building, to meet with our oncologist. Despite calling her, emailing and paging her, she never even bothered to come and see us. She basically passed the buck. So unprofessional.
We waited another three hours before we finally go to meet with Dr. Blumenschein, who had unfortunately been backed up with other patients. He was equally as upset as we were, was very apologetic. He promised to take action to make sure that future program admission procedures would ensure that this does not happen again.
The plan going forward is basically the same, but without the immunotherapy. Dr. Pytynia and her team will perform surgery on December 27th to remove the tumor. Once the tumor has been removed, Dr Garvey and his team will remove some soft tissue and capillaries from Christine’s arm, to fill in the void where the tumor was, and join everything back together again.
This will be followed by about a week’s recovery in hospital. At the end of January, Christine will start six weeks of radiation therapy, with the option to also have chemotherapy if the pathology warrants it. The good news about not having the immunotherapy treatment, is that the radiation/chemotherapy treatment can now be done in Katy.
Thanks again for all of your kind words, and support. It means a lot to us.
{ if (window.innerWidth >= bp.minWidth) enabled = bp.enabled; });
if (enabled) $dispatch('image-lightbox-open', { id: 'rw43EF305F_9988_4E82_B341_12C666FDC0FC' });
" decoding="async" />
{ if (window.innerWidth >= bp.minWidth) enabled = bp.enabled; });
if (enabled) $dispatch('image-lightbox-open', { id: 'rw062FC3E6_00CF_437F_8AC0_1C8B9D220553' });
" decoding="async" />
First Chemotherapy - December 28th 2019
After an amazing logistical effort by the team, in particular Dr Blumenstein's clinical nurse Jancy John, Christine had her first infusion of the induction chemotherapy treatment today. This was a six hour session at MD Anderson downtown having what is known as the TPF regimen. This consists of the drugs docetaxel, and cisplatin, which were administered intravenously, and fluorouracil, which is administered as a continuous 24-hour infusion for 4 days. These drugs have been FDA approved for this type of cancer for quite some time, but are administered much more often now because the side affects can now be managed more effectively with other modern drugs. This process is repeated every three weeks, after which there will be a scan, and blood analysis to review progress. It is likely that Christine will need at least three, if not four of theses cycles, before we can even consider surgery. Andy and Christine have subsequently received training on how to flush her catheter which needs to be done on a daily basis. We are hoping that once everything becomes more routine, all of the treatments can be moved to the MD Anderson satellite hospital in Katy.
{ if (window.innerWidth >= bp.minWidth) enabled = bp.enabled; });
if (enabled) $dispatch('image-lightbox-open', { id: 'rwA0FDD924_10A7_4239_B3AA_9F4B395A0D52' });
" decoding="async" />
Chemotherapy Working - January 13th 2020
It’s been a roller coaster 2 weeks since the last blog entry. Chemotherapy resulted in about a week of extreme fatigue and mouth ulcers, but on day 10 things started to pick up a little and we saw some improvement. The tumor on my face stopped growing and started to diminish and just 2 weeks after starting treatment, the visible tumor withered away and dropped off. (If you’d like photos, pm me!)Today was a follow-up meeting with both my team leader and oncologist. Both were amazed at the progress made by the chemo treatment in such a short time and were very encouraging for a final positive outcome. Of course there is still a very long way to go, but the plan now is to continue with 2 more rounds of chemo to eradicate any rogue cancer cells, followed by a repeat of the original surgery with additional facial reconstruction to remove all traces of the tumor. I have a surgery date of 13 March - a Friday....good thing I’m not superstitious! There will be more post operative treatment but this is unsure at this stage.Meanwhile, we continue one day at a time and thank all those who are supporting us as we fight on. We have the best family and friends near and far, and we appreciate all the help and encouragement from all. We have been blessed with the best.
{ if (window.innerWidth >= bp.minWidth) enabled = bp.enabled; });
if (enabled) $dispatch('image-lightbox-open', { id: 'rw856B7131_E77C_4126_8A51_8AF5CC8BF7A4' });
" decoding="async" />
{ if (window.innerWidth >= bp.minWidth) enabled = bp.enabled; });
if (enabled) $dispatch('image-lightbox-open', { id: 'rw844A626A_85AC_4BBD_84CE_7B0AACFC6B7D' });
" decoding="async" />
Second Chemotherapy - January 17th 2020
Christine will be having her second chemotherapy treatment this coming Wednesday (1/22/2020). From experience of the first round, we will likely be radio silent for a week or so. Christine will become very fatigued and unable to talk to anyone for at a least week following this treatment. We were very lucky to have Thomas visit us over the Xmas period, and now Robert will be staying with us for a week from February 7th. Thanks again for all of your support, it is really appreciated.
{ if (window.innerWidth >= bp.minWidth) enabled = bp.enabled; });
if (enabled) $dispatch('image-lightbox-open', { id: 'rwD20ADA88_BDD9_40C0_8A55_48B5750F727C' });
" decoding="async" />
CTL-ALT-DEL - January 22nd 2020
Christine successfully completed her second chemotherapy treatment. Here she is, knitting her viking hat. Andy successfully had his Cardioversion treatment, which is a jolt of electricity to the heart to get it back in rhythm. What a pair we are!If Christine responds the same way as the first bout of chemo, we anticipate a couple of good days, followed by about a week of extreme fatigue. Don't worry if Christine is unresponsive to emails or texts, she will get back to you as soon as she is able. Thanks again for the continual support, it is most appreciated.
{ if (window.innerWidth >= bp.minWidth) enabled = bp.enabled; });
if (enabled) $dispatch('image-lightbox-open', { id: 'rw8C3A16BE_552B_4DCB_922E_A49208B2BD22' });
" decoding="async" />
{ if (window.innerWidth >= bp.minWidth) enabled = bp.enabled; });
if (enabled) $dispatch('image-lightbox-open', { id: 'rwAE2D1455_14E8_4B5A_AEB3_63A18050580F' });
" decoding="async" />
{ if (window.innerWidth >= bp.minWidth) enabled = bp.enabled; });
if (enabled) $dispatch('image-lightbox-open', { id: 'rw5CD037EB_EC3E_4B2E_A9BE_5F7BB3B2270F' });
" decoding="async" />
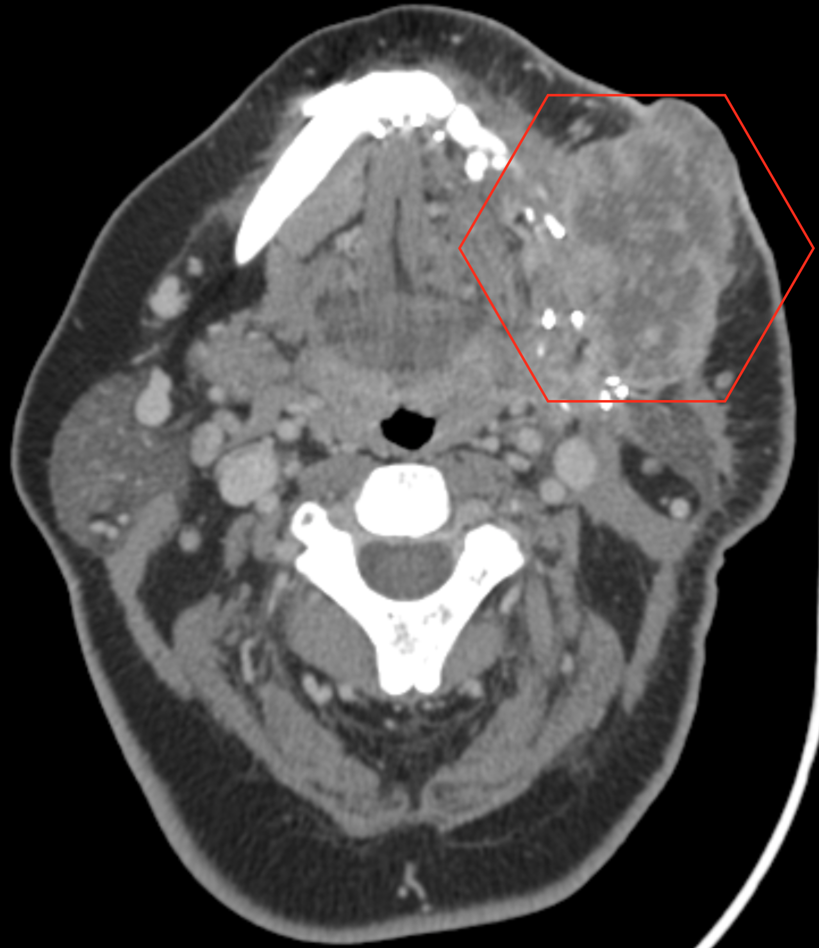
More CT Scans - February 10th 2020
Since Rob was here for a visit this week, we thought we would treat him to a day at MD Anderson downtown! Although we are not, by any means, out of the woods, we received some encouraging news. Christine had another CT scan today, and scan images (on web page), shows the tumor that was identified on December 19th, has considerably reduced in size after the two rounds of chemotherapy. Dr. Blumenschein was absolutely gobsmacked with these results. Christine will be having a third round of chemotherapy on Wednesday, after which the remaining tumor will be surgically removed on March 13th. We both thank you all very much for your continual support and good wishes. Christine will likely be out of action from Saturday for five or six days due to the fatigue caused by the chemotherapy treatment.
{ if (window.innerWidth >= bp.minWidth) enabled = bp.enabled; });
if (enabled) $dispatch('image-lightbox-open', { id: 'rwB0B63EEA_D7AC_4216_9AE9_101C7DBE4B2B' });
" decoding="async" />
{ if (window.innerWidth >= bp.minWidth) enabled = bp.enabled; });
if (enabled) $dispatch('image-lightbox-open', { id: 'rwF89A64BE_900F_4493_A88B_82A647343516' });
" decoding="async" />
{ if (window.innerWidth >= bp.minWidth) enabled = bp.enabled; });
if (enabled) $dispatch('image-lightbox-open', { id: 'rw684106CE_FE5E_49EF_B2FB_202C287FB33A' });
" decoding="async" />
Even More Good News - February 17th 2021
We had some great news today. Christine’s latest three monthly scan came back clear of cancer. Also she is getting her first COVID vaccine in a couple of days, and hopefully there will be some progress with her prosthetic teeth next week (although the dental department so far has been rather underwhelming). After this, in late March, she will be having a day procedure to re-sculpture her face. This will involve some liposuction and some tidying up of the scars under her chin. This will be performed by the mercurial Dr. Garvey. Seems he will do anything for cookies…
After this, who knows? Christine will continue to have three monthly scans this year, and with all of her knowledge from the last two years has volunteered to help other patients who are stepping into the unknown with their cancer experience. We are hopeful that at some stage this year we will be able to head to the UK to see all of our family. It's been a while… The only sticking point is Andy getting a vaccine. With him losing so much weight, he has fallen out of the obese category required to be in the 1b vaccinations. Let's keep our fingers crossed the rollout speeds up!!!
Stay safe!
{ if (window.innerWidth >= bp.minWidth) enabled = bp.enabled; });
if (enabled) $dispatch('image-lightbox-open', { id: 'rwFFBAC9CB_1CB5_4481_B176_4C2885534DE9' });
" decoding="async" />
We Have a Plan - March 4th 2020
Finally today we got a plan. Christine's scan results on Monday were fabulous showing no tumor - it happens but it’s rare. So chemo is finished and we move on to the next stage.
To prevent any return we now have to go the surgery route. Unfortunately Dr. Pytynia wants to remove all tissue that touched the tumor so that no residual microscopic cells can regrow again. That means removing all soft tissue in the lower left jaw and neck, the jaw bone (again) and the outer skin on the lower left side of the face. This is a repeat of the first surgery using bone from the left leg this time, but also using skin and tissue from the left upper arm to reconstruct the outer skin. 
It’s a massive surgery that will take more than 12 hours, so an extra plastic surgeon is coming in to help. It’s not what we hoped for, but there’s no alternative. Let’s hope they get it right this time as I feel we’re right back where we were 10 months ago. 
As they are using tissue from the left arm, it’ll be difficult to text etc. so don’t expect a reply, although I will be reading any messages you care to send. Check in with Andy for the latest news. I expect to be in hospital for at least a week (13 - 20 March), then a long recovery at home, as before, followed by radiation treatment after a month or so. 
It’s been a long, hard 10 months so far, but they say what doesn’t kill you makes you stronger. At least we know what to expect in the next 10 months. I’ve asked for gold bolts in the neck as they seem to be turning me into Frankenstein’s monster!
{ if (window.innerWidth >= bp.minWidth) enabled = bp.enabled; });
if (enabled) $dispatch('image-lightbox-open', { id: 'rw4B70AF8C_47A4_4C61_ADD9_B07D3D6E7037' });
" decoding="async" />
{ if (window.innerWidth >= bp.minWidth) enabled = bp.enabled; });
if (enabled) $dispatch('image-lightbox-open', { id: 'rw19E3B6C8_2411_4F5C_9D87_AE80069DE3E8' });
" decoding="async" />
{ if (window.innerWidth >= bp.minWidth) enabled = bp.enabled; });
if (enabled) $dispatch('image-lightbox-open', { id: 'rw017566B6_2FF0_4820_A7F9_8FABFCE847C0' });
" decoding="async" />
{ if (window.innerWidth >= bp.minWidth) enabled = bp.enabled; });
if (enabled) $dispatch('image-lightbox-open', { id: 'rwB119C070_0B31_4D07_96EC_E02F34EE26D9' });
" decoding="async" />
Surgery Day - March 13th 2020
It’s been a long day. We left home at 4:30am, so that we could check in by 5:15am. Christine started surgery at about 8am, and it took over 12 hours to complete. She made it to the recovery room by 9pm, and finally made it to her ward room at 11:30pm. Coincidentally, just two rooms down from the one she had last year. I was able to see Christine for a little while and she was in good spirits, with her white board in hand (she has a trach and is unable to speak), teaching the nurses how the tubes etc. should be placed. I finally made it home by 2am this morning! 
It was a much more challenging surgery than last time, but was completed successfully and pretty well went according to plan. The process was complicated by the extensive scar tissue left from the previous surgery. Dr Pytynia, the cancer surgeon, was able to remove all the areas touched by the tumor, which meant removing part of Christine’s jaw and neck tissues. She was able to get “good margins” to healthy tissue. 
Dr Garvey, the reconstruction surgeon, used her left fibula bone, skin and tissue to replace her jaw. The inside of her lower left arm was used to replace the neck tissues that were infected. There is no skin graft on arm yet, as they will wait for it to heal before applying. The risk of graft failure was too high to attempt now. They were able to put a skin graft on her leg this time. 
Dr Hofstede, the oral surgeon, determined that the integrity of the new jaw bone was unsuitable for dental implants at this time, so Christine will have to have her new teeth positioned at a later date. Unfortunately the nerves were too damaged from the scar tissue removal for them to be reconnected.
Christine will have to stay in hospital for at least a week to recover from this ordeal. Please feel free to contact me for updates. Thanks for all of your encouraging words and support. 
Kinda takes your mind off this Coronavirus business...
{ if (window.innerWidth >= bp.minWidth) enabled = bp.enabled; });
if (enabled) $dispatch('image-lightbox-open', { id: 'rw514657A3_82DA_4B4B_8A96_0D6A50BF456C' });
" decoding="async" />
Day 5 After Surgery - March 18th 2020
Although Christine still feels pretty rough, not surprisingly, her wounds are healing nicely and she is getting some color in her cheeks again. She is frequently visited by her surgeons and their associates. The consensus is that she is meeting their expectations nicely. She still has five tubes/drains, other wires and attachments, which are quite irritating, but obviously essential. She is breathing through a tracheostomy tube, and will do so for at least three weeks. This is because it will take this time for the swelling to go down in her neck. I estimate that she has about 70 stitches in her neck, however the doctors are hopeful that these will be unseen once the swelling has gone down. Dr Garvey needs to attend Friday Stitch and Bitch for a natter! Christine, under the guidance of a PT/OT nurse, is walking around the nurses station a couple of times a day, which is brilliant. 
There have been a lot of ups and downs. Most annoying is the scheduling of the various nurse visits at random times during the night. I am sure it must be easy to schedule them to do their thing at the same time, rather than wake Christine up so many times. On the upside there is a considerable amount of expertise at MD Anderson, and we feel very grateful that we are able to use this hospital. 
My biggest gripe is how stupid people are. With Covid-19 all around, why would you still want to cram into an already full elevator? I had to have strong words. I think I will have to man up, and take the stairs. 
We expect that Christine will stay in hospital over the weekend and into next week. Nurse Andy is brushing up on his skills…. Before you ask, we will not be accepting any visitors for the duration. The risk is too high. Thanks for all of the cards, emails and texts, they have really cheered Christine up.
Day 7 After Surgery - March 20th 2020
Well, Christine is home! After a lot of umming and airing, it was determined, after sign offs from both teams, physical therapy, occupational therapy, and an Andy capability test, that Christine was fit enough to come home today. This was quite a shock as we were originally told that she would be in over the weekend.
It was a real pleasure to hear her speak today for the first time in a week, when they replaced the surgery trach with one that enables you to talk. Here she is with nurse Teresa, one of the best nurses we have ever had. Now she has to put up with nurse Andy for the duration, although we do have nurse Yanet lined up again to pop in every other day to make sure that everything is in order. 
Although the surgeries were similar in nature there are a number of different problems to overcome. Christine is left side dominant, and with all of the surgeries this time on that side, maneuvering is proving to be difficult and frustrating. Also she has a suction pump machine to carry around, which also presents some issues. Oh, and the trach tube, I won't go into the details, but it is not much fun for her. I am sure we will figure out efficiencies over the coming days. At the end of the day, she is alive and kicking, so we are all very thankful for that.
The plan is to see Dr Garvey next week, when decisions will be made regarding the four remaining drains, the dressings, the boot, the trach and anything else we can think of that will make Christine more comfortable. Then the following week we see Dr Pytynia to discuss what further treatment will be needed. Considering we have an appointment with Dr Chronowski, the radiation oncologist, it seems that radiotherapy is in our future. 
At chez Fryer we have battened down the hatches, only answering the door through the Ring App, and venturing out only when we have to. We have plentiful supplies, and are now hopefully locked away from the world. Needless to say, with all of the Covid-19 business going on, we will not be accepting any visitors. We will just have to have a virtual cup of tea together, and maintain that British, stiff upper lip!
{ if (window.innerWidth >= bp.minWidth) enabled = bp.enabled; });
if (enabled) $dispatch('image-lightbox-open', { id: 'rwDFD27BE2_D271_4ED3_8D32_BF6157D38606' });
" decoding="async" />
{ if (window.innerWidth >= bp.minWidth) enabled = bp.enabled; });
if (enabled) $dispatch('image-lightbox-open', { id: 'rwA3D672A9_F9AF_4B5B_8175_C7F347593AE6' });
" decoding="async" />
First Follow Up - March 24th 2020
Christine has been home for four days now, and we are coping quite well. We have a nurse visiting us three days a week to change the dressing on her arm. My tasks have been recording discharge and cleaning out her four drains, keeping her airwaves clean, administering drugs and feeding, etc.. With the aid of her walker Christine has managed to walk around our pool and has even done some work on her sewing machine. She does get tired very quickly though, which is understandable.
Today we headed downtown to MD Anderson to have our first post surgery follow up with Dr Garvey and his sidekick Dr Dhanani. The place was dead, with very strict entry procedures. I was almost not allowed in. 
The wound on her thigh created the graft needed to patch up the wound on Christine's leg. The wound on Christine's leg, is where the bone was taken to recreate her jaw, and the skin and flesh to recreate the gum. The wound on her arm was used to recreate her cheek, and still has to have a graft added. All is healing well. Dr Garvey removed three drains, which I was delighted about. My joy was short-lived, when he told me that I would have to dress the leg wound on a daily basis. Apparently it is easy! Let's see in the morning! 
So, in essence, all is going according to plan. We are completely self isolating, using curbside pickup when necessary. The only real danger is visiting the hospital, strangely enough. Our next appointment is not until March 31st, when we see Dr. Garvey again, and then on April 2nd, when we will see Dr. Pytynia (she removed the tumor) for the first time after surgery. I will report soon after these appointments. Keep all the messages coming, as they really cheer Christine up. Thanks!
{ if (window.innerWidth >= bp.minWidth) enabled = bp.enabled; });
if (enabled) $dispatch('image-lightbox-open', { id: 'rwA9A02C53_6600_425C_A2D7_D46B7353054C' });
" decoding="async" />
Stitches Out - April 7th 2020
Christine and I had to quarantine for fourteen days, so all of our appointments were put back by two weeks or so. It turned out that one of the care workers attending the ward that Christine was on had developed Covid-19 symptoms, so we had to self-isolate as a precaution. We didn't find this too difficult as we have been like this since Christine started chemotherapy back in December. We are extremely grateful to Kroger kerb-side, and all of our gofer friends.
With this delay, all of Christine's bandages were overdue being changed, and in the end we had to jerry rig some replacement bandages over the weekend. This meant that Nurse Andy was called into action. Fortunately our regular registered nurse, Yanet, visited on Monday… 
Today we finally got to see Dr. Garvey and Dr. Dhanani. They were very pleased how everything was healing. Dr Dhanani removed the final drain (down to two tubes now), and the staples that were holding the graft on Christine's lower leg. Dr Garvey removed the stitches inside Christine's mouth, the 75+ stitches in her cheek, and properly redressed the skin graft doner site, which is causing Christine so much pain. 
The problem now, with the hospital shutdown for non-essential surgeries, Christine will not be able to have the graft put on her arm until mid-May at the earliest. Unfortunately, this means she still has to lug around the wound vac machine, which is a bit of a pain in the backside. At least next week she will see Dr. Pytynia and should be able to have the trach tube removed. Next week she will also have a barium swallow test to confirm whether she can start eating through her mouth again. It seems radiation will be delayed to allowed all of the surgeries to heal for a bit longer. We are getting there, albeit slowly. I will report again next week, after the next follow up with Dr. Garvey. We hope that you and your families are all safe, and entertaining yourselves!
{ if (window.innerWidth >= bp.minWidth) enabled = bp.enabled; });
if (enabled) $dispatch('image-lightbox-open', { id: 'rwBCC299AC_E579_4F4C_99A0_DD707681F4CB' });
" decoding="async" />
{ if (window.innerWidth >= bp.minWidth) enabled = bp.enabled; });
if (enabled) $dispatch('image-lightbox-open', { id: 'rw42225060_F97E_4279_9D6D_913016F615F4' });
" decoding="async" />
{ if (window.innerWidth >= bp.minWidth) enabled = bp.enabled; });
if (enabled) $dispatch('image-lightbox-open', { id: 'rwE415B4F1_1836_4AC0_BA5F_E4BE5ACBB9A7' });
" decoding="async" />
{ if (window.innerWidth >= bp.minWidth) enabled = bp.enabled; });
if (enabled) $dispatch('image-lightbox-open', { id: 'rwEB591AE5_3914_4954_AD44_AAD9E2AB95E0' });
" decoding="async" />
{ if (window.innerWidth >= bp.minWidth) enabled = bp.enabled; });
if (enabled) $dispatch('image-lightbox-open', { id: 'rwDDBE44A5_4D73_475D_B40C_815D0FDAF0D5' });
" decoding="async" />
{ if (window.innerWidth >= bp.minWidth) enabled = bp.enabled; });
if (enabled) $dispatch('image-lightbox-open', { id: 'rw5A47EFFC_769F_4182_B77E_6962E90B774D' });
" decoding="async" />
One Step Forward... - April 15th 2020
It’s been a busy week for Christine and it’s still only Wednesday! On Monday and Tuesday, she had 5 doctors appointments and there were some issues to clarify. First of all, the hole on her cheek is an infection and not a new tumor. This was our biggest worry. It’s now being treated with antibiotics and wound care, so we hope for an improvement this week. The open wound on her arm is ready for a graft and the surgery date given to us was August 10th! Dr. Garvey said this was unacceptable and it’s now May 4. All other wounds (leg x 2) are healing nicely.
We met with the radiotherapy doctor, Dr. Chronowski, and we started the process of arranging radiotherapy, which will be 5 days a week for 6 weeks. When we start is yet to be decided as it all depends on how the infection heals. Thanks to COVID for all this uncertainty! That extra week when her appointments were put back created all kinds of problems! Also the tracheotomy tube is still in place until the infection shows some positive healing.Christine had a swallow test on Tuesday and she passed, thankfully. This shows that the inside mouth surgery has healed and there are no leaks. That means she can go back onto proper food! Yay! Christine had tomato soup for dinner and it tasted SO good after 5 weeks being fed directly into my stomach via feeding tube. The feed tube will remain until after radiation is complete, just as a precaution. She will be on soft food/ liquids for a few days then she will progress slowly to more solid foods. She has plenty of lovely soups in the freezer, so she is looking forward eating those again (thanks, Michelle)
On the COVID front, we are both still totally isolating for the foreseeable future. We only go out to the hospital, which is like a ghost town! Thankfully MD Anderson only deal in cancer, so no COVID patients are there to infect us, although they are still taking every precaution to stay safe. We’re keeping busy and not getting bored. Changing dressings seems to take 1/2 the day and of course we have the lovely garden and pool to sit beside in the afternoons in perfect, beautiful weather. Couldn’t be better if we were in the Caribbean! Christine is able to walk around the pool with the aid of a walker, so she gets a bit of exercise, and Andy is swimming daily, although the water is still quite cool. So, life’s not all bad, in fact much better than a lot have in the present situation and we’re grateful for it.
Again, we must thank all the wonderful friends who keep sending messages of encouragement, even though we can’t meet, and all the lovely surprise FaceTime calls and emails from people far and wide! We’re doing OK and a lot of that is due to you. Thank you. ❤️❤️
Of course, if you no longer wish to receive these updates please let us know and we’ll take you off the list.
Trach Out - April 27th 2020
Just a quick update with Christine's progress. In the last couple of weeks, quite a lot has happened. Christine has finally had her tracheostomy tube removed. It was originally planned for Andy to remove the tube at home via a video link with the surgeon. Although he felt confident, we ultimately decided to wait a few more days to have it removed at the hospital. Having now seen the process, it was very straightforward!
A couple of days later we headed downtown to start the process of having the bits and pieces made in preparation for radiation treatment. The first part was making a stent that basically keeps the tongue away from the radiation. We then went up to the West Houston location for Christine to have a mask made that would keep her in the same place each time she visited so that the radiation treatment was focussed where it needed to be. Unfortunately, the doctor in charge has reviewed all the scans from a simulation run, and has decided on a different approach. This means that we have to go and get Christine measured again. I guess when you are having radiation five days a week, for six weeks, you want to make sure it is going to work effectively.
I mentioned in the last report that the surgery to place a skin graft from Christine's thigh onto the big hole in her arm was set for May 4th. We got a call from Luke Skywalker to say this day was taken, and the surgery would now happen on April 27th. Consequently, the last week has been spent preparing for this. The day before surgery, Christine had to have a test for Covid-19, which, not surprisingly, she was clear. The surgery today went very well, although she still has the wound vac for another week or so as this will speed up the healing process. Whilst on the slab, Dr Garvey decided to go in and fix the infection on Christine's cheek. Again that went well, so hopefully that will be the end of the cut and paste process.
I'm not sure when the next blog will be, probably once we know how the radiation treatment is going. Please feel free to contact Andy for an update
{ if (window.innerWidth >= bp.minWidth) enabled = bp.enabled; });
if (enabled) $dispatch('image-lightbox-open', { id: 'rw3C4BD30B_DD09_49F0_A0B4_3D27AA58F832' });
" decoding="async" />
{ if (window.innerWidth >= bp.minWidth) enabled = bp.enabled; });
if (enabled) $dispatch('image-lightbox-open', { id: 'rw9C12ACEB_2D28_40BC_AC93_5522D4F525D3' });
" decoding="async" />
{ if (window.innerWidth >= bp.minWidth) enabled = bp.enabled; });
if (enabled) $dispatch('image-lightbox-open', { id: 'rwA448B9D6_6CED_42BA_A10E_A07A5D3C8D5D' });
" decoding="async" />
End Of An Era - May 4th 2021
It seems we are hopefully at the end of this long journey of recovery. Dr. Garvey took up the knife again at the end of March and sucked out the excess tissue under my chin and with additional massage, it’s looking much more normal. I expect it to get even better with time. I also ended a long, administrative battle with dental, culminating in some rather wonderful teeth.
I’m happy to report that the results are way better than I ever imagined and I had my first burger in over 2 years, after my last dental consult. It tasted SO good!
So…. we are done, except for the routine 3 monthly checks. My last scan (last week) was clear yet again so that's well over a year cancer free now, although the recovery has been ongoing. It’s pretty amazing to consider where I am now after having 1/4 of my face removed twice and only half the bones remaining in both my legs. I’m able to eat normally, speak normally and I’ve taken to walking around the neighborhood on a semi regular basis. I use a cane for stability but that’s my only aid. The next big step will be a trip to UK when COVID permits.
None of this could have been possible without the skill, confidence and encouragement from my entire medical team at MD Anderson, to whom I owe my life. They have a very aggressive approach and work on the cutting edge of medicine but it worked for me and I am considered something of a walking miracle. Also to CIGNA health insurance who footed the bill! It adds up to around $750K in all so if you’re in UK using the NHS, be grateful it costs you nothing! And let's not forget Andy who has been through hell with me, by my side and held me up the entire way. My rock. Thanks also for the encouragement and support of some very special friends who never wavered and made life “normal” through the tough days
{ if (window.innerWidth >= bp.minWidth) enabled = bp.enabled; });
if (enabled) $dispatch('image-lightbox-open', { id: 'rw6D9F17CF_BBDC_458B_998B_D1E42BD61963' });
" decoding="async" />
{ if (window.innerWidth >= bp.minWidth) enabled = bp.enabled; });
if (enabled) $dispatch('image-lightbox-open', { id: 'rw64A074C4_0959_428E_BB69_4CA354C8C7A0' });
" decoding="async" />
Good Vibes - May 7th 2020
A short blog with lots of good vibes. Today's hospital visit with Faiysan (PA) and Dr. Garvey (aka The Dream Team), was fantastic!
- Face stitches came out
- Thigh graft donor site is healing cleanly
- Lower leg surgery site is progressing nicely, albeit slowly
- Arm graft staples have come out
- The wound vac machine was discarded!
Yay! No more dragging it around 24/7, so I'm not tied to the walker anymore! Free at last! This means that I should be able to drive myself to some of my radiation appointments…. in my own car! (the walker won't fit into the back of the 'vette). I will have to practice driving as I haven't really done any for six months - I hope I remember how!
So, on to Phase Three. Six weeks of radiation begin on Monday; 5 days a week for 15 minutes each afternoon. Thankfully, that will be at our local satellite facility, just 20 minutes away. A quick daily trip and then back into isolation, until Texans get some sense, and this whole Covid-19 thing gets better. Fortunately, MD Anderson is a dedicated cancer hospital and has no Covid-19 patients, and a very strict entry procedure, so it is a safe place to be.
As there will be not much more to report, this will probably be the last blog until after radiation finishes in mid June.
{ if (window.innerWidth >= bp.minWidth) enabled = bp.enabled; });
if (enabled) $dispatch('image-lightbox-open', { id: 'rwD60380E7_61F8_4647_BAEA_1A4EE5548C28' });
" decoding="async" />
New Scrub Caps - May 21st 2020
{ if (window.innerWidth >= bp.minWidth) enabled = bp.enabled; });
if (enabled) $dispatch('image-lightbox-open', { id: 'rwCA2E7EF6_3B42_4C01_B373_91A28F90E84A' });
" decoding="async" />
End Of Radiation Treatment - June 12th 2020
A Viking helmet moment! Christine rang the bell to signify the end of five weeks, and 30 radiation treatments. She even got to keep the mask! Let the healing begin! There is a long way to go yet, and prognosis is that it will take at least three weeks for all of the sores and blisters inside her mouth to heal, and the redness to subside. Once Christine is able to eat without her feeding tube, this will be removed, probably after two or three weeks. We have another visit to Dr. Garvey in a week or so to review all of her wound sites, but as these have generally healed nicely, we do not expect any issues with this visit. In August, Christine will have a CT scan, and subsequent consultations with Dr. Pytynia, and Dr. Chronowski will determine the success of all the treatments and surgeries that she has had this year.
For those who are curious about the radiation, the mask is fastened to the table and Christine is completely immobilized. It takes just 5 minutes to nuke her. When this picture was taken she had just 8 sessions left. This radiation has been the worst part of all. We hope it’s been worth it.
Finally! It's been 5 months since we spoke to Christine's Mum, who is in lockdown at her nursing home in the UK! It was good to see her so well, and recovered from her COVID 19! We also received lovely flowers and gifts to celebrate Christine completing her radiation therapy - thanks!!
{ if (window.innerWidth >= bp.minWidth) enabled = bp.enabled; });
if (enabled) $dispatch('image-lightbox-open', { id: 'rw894FB0D2_ABB3_48A8_A3A5_8A36D5446475' });
" decoding="async" />
{ if (window.innerWidth >= bp.minWidth) enabled = bp.enabled; });
if (enabled) $dispatch('image-lightbox-open', { id: 'rw957CBACF_083A_4C99_BE6A_C9E70812B852' });
" decoding="async" />
{ if (window.innerWidth >= bp.minWidth) enabled = bp.enabled; });
if (enabled) $dispatch('image-lightbox-open', { id: 'rwDB790151_96E7_4BBD_8422_B8C4E70406AE' });
" decoding="async" />
{ if (window.innerWidth >= bp.minWidth) enabled = bp.enabled; });
if (enabled) $dispatch('image-lightbox-open', { id: 'rwA4F786F1_1C75_4618_A5F6_75B9D38BBF15' });
" decoding="async" />
{ if (window.innerWidth >= bp.minWidth) enabled = bp.enabled; });
if (enabled) $dispatch('image-lightbox-open', { id: 'rw96519A3A_F9AE_4BB2_9AB5_6366851F872E' });
" decoding="async" />
{ if (window.innerWidth >= bp.minWidth) enabled = bp.enabled; });
if (enabled) $dispatch('image-lightbox-open', { id: 'rwA870CFFE_3F04_421E_BEE9_F30007550FEA' });
" decoding="async" />
Finally Some Good News - July 28th 2020
Christine had her CT scan to determine the success of the chemotherapy, surgery and radiation, and the news was good. To quote the report, "complex new postoperative changes are identified and there is no evidence for infection or tumor recurrence.There is no evidence of hardware loosening or other hardware-related complications. There is no adenopathy". This basically means that the cancer has gone, her new jaw (leg) bone is still in place, and her lymph nodes are in good shape. We started this journey in April 2019 (see surgery blog 1), and you can't imagine how delighted we are that all of Christine's suffering hasn't been for nothing.
So what's next, I hear you ask?
Christine is still feeling some discomfort from the radiation, particularly on her tongue, but this is improving daily. Rather than use her feeding tube, she has started to eat proper food, and although it is liquidized, it is a step in the right direction. Hopefully the feeding tube can be removed in a couple of weeks or so. We are seeing and ENT specialist next week to figure out how to stop the ringing in Christine's ears, which is a side effect from the chemotherapy. After this, in September, we have to go back to Dr. Garvey, to start the reconstruction of her face. This will involve liposuction, and some resculpturing to get her face looking how is was before all of this started. Once this has been done, we then have to go to the dental department for Christine to have new teeth inserted. In addition, for the next year, we have to have CT scans every three months to make sure that there are no more recurrences.
Hopefully, by then, the Covid-19 vaccine will be ready, so that we can go and have a good holiday!
Thanks again to everyone who has shown such support and kindness to us. We are indebted to your friendship.
{ if (window.innerWidth >= bp.minWidth) enabled = bp.enabled; });
if (enabled) $dispatch('image-lightbox-open', { id: 'rw36044D79_5299_4FB1_965F_686F2C77655F' });
" decoding="async" />
Some More Good News - October 28th 2020
Christine had her six month CT scan this week, and we are so pleased to report that she is still clear. The scans are quite interesting to view, particularly scanning through image slices. The good news is that we do not have any surgery appointments now until the end of January 2021. 
We are so grateful for the talented surgeons and nurses at MD Anderson to have pulled this off. We are also grateful for all of the friends and family that have given us so much support over the last two years. It has been quite a journey.
Overall, Christine is managing really well, and despite not having any teeth at the surgery site, she is eating and drinking most things. Most importantly she has rediscovered her taste for wine, which had disappeared from all of the radiation treatment. She has invested in some pretty cool walking sticks, and has started to walk around the neighborhood to help improve her mobility. She has also had some hearing aids fitted, which are helping mitigate some the hearing damage caused by the chemotherapy treatment.
Christine is currently in the process of having some replacement teeth fitted, and hopefully this will completed as soon as possible.
On the social side, like everyone else who has some sense of the seriousness of Covid-19, we are keeping to a small bubble of like-minded friends. We do try to have a day out once a week, and now that the hospital appointments have dwindled, and the weather is cooler, these trips have become a welcome distraction.
Once again, thanks for all of your support, and stay safe! Our next update will be after the next CT scan in the new year.
{ if (window.innerWidth >= bp.minWidth) enabled = bp.enabled; });
if (enabled) $dispatch('image-lightbox-open', { id: 'rw0CECCAA0_7D2B_440E_878B_95C95D995AC5' });
" decoding="async" />
{ if (window.innerWidth >= bp.minWidth) enabled = bp.enabled; });
if (enabled) $dispatch('image-lightbox-open', { id: 'rwA2215FDC_0750_4FDA_B1F7_E9502A22A34E' });
" decoding="async" />
{ if (window.innerWidth >= bp.minWidth) enabled = bp.enabled; });
if (enabled) $dispatch('image-lightbox-open', { id: 'rw4AEF482F_EA78_42B6_B05C_474F34D26841' });
" decoding="async" />
{ if (window.innerWidth >= bp.minWidth) enabled = bp.enabled; });
if (enabled) $dispatch('image-lightbox-open', { id: 'rwB9409620_CEB5_4493_AFC9_E06992252C6F' });
" decoding="async" />
This will be our last blog post as the journey comes to an end, but of course………its never done. Cancer is always in the back of your mind. May the fourth be with you!
{ if (window.innerWidth >= bp.minWidth) enabled = bp.enabled; });
if (enabled) $dispatch('image-lightbox-open', { id: 'rwB2334806_EA7A_45F5_85C8_A8C22283CC30' });
" decoding="async" />